新鲜事

基因突变导致失眠?

长夜漫漫,处处险恶。
7

喜大普奔:安全有效的男性避孕药即将问世

新型避孕药将重点作用于两种促使精子运输的蛋白质,从而有效地避免精子离开身体。
20

déjà vu:科学家在实验室重现似曾相识感

在意识层面,我们记不起过往的场景,但大脑却能够识别出这种相似性。
24

卖身科学:九种方式价目一览表

捐尸报酬:免费火化。
18

尼安德特人:富有同情心,无私照料同伴

尼安德特人并未考虑对方是否会回报自己,他们只是对看到挚爱之人受折磨的感受作出反应。
32

追求快乐,反而得不到快乐

有意识地努力追求快乐的人通常觉得自己不够快乐,这反而使他们感到不快乐。
15

英国研究人员:中餐太咸,应设警告标签

嫌我们含盐量高,咋不嫌自己含糖量高呢。
64
广告

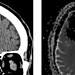
老人缺失一大块大脑,原因十分奇特

他的右额叶居然有一个大洞,足有9厘米长。
13

推特:为什么假新闻传播的更快?

在几乎所有度量方式上,假新闻都胜过真新闻。
21

科学家首次在钻石里发现地球深处的矿物

它可能是含量第四丰富的地球矿物,但人类从未亲眼在大自然里见过它。
11

这个机器人解开魔方只要0.38秒

魔方机器人是一项精细工艺,它结合了摄像头、传动装置和软件编程。
18

垃圾DNA:大象为什么不易患癌症?

它们并非完全免疫,但相较于人类,大象的患癌几率非常低。
27

全球科学家给人类的警告

由15,364位科学家联合签名。
23

世界上最古老的漂流瓶,竟是一项科学实验

纸条内容很新奇,不是来自荒岛的求救信号,而是属于一个科学实验。
9

最致命的动物是什么?答案出乎意料

最致命的动物其实就在我们身边。
31

如何振奋士气:比如给上司的巫毒娃娃扎针

这不是瞎扯,而是科学研究成果。
4

辟谣:打太多疫苗使儿童免疫系统超负荷?

在美国等国家,有10-15%的两岁以下幼儿被推迟或拒绝注射疫苗。
13

物理学家探测到第四维度的迹象

第四维度的物理现象会影响我们的三维世界。
31

神奇石墨烯:既能超导,又能绝缘

科学家接连发现石墨烯具有令人震惊的性能。
22

非洲地底异常:地球磁场正迅速减弱

有时候,考古遗址会保留关于古代地球磁性的物理证据,一群古非洲人就留下了这类证据。
23

四种饮酒动机

下次喝酒前,想想自己为什么喝酒。
23

情商是什么,如何利用情商

就员工工作绩效而言,IQ造成25%的差异,EQ造成3%-7%的差异。
18

18世纪伦敦动物园:带些猫狗喂狮子,就不用掏门票钱了

以前,欧洲王室成员常常将北极熊、狮子等珍禽异兽作为礼物,彼此交换。
11
广告